Table of Contents
« prev
next »
Washington University Experience
|
VASCULAR
|
Cavernous Angioma
|
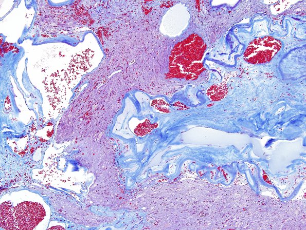
20C1 Cavernous angioma (Case 20) Trichrome 2
20C1-3 Trichrome staining of vasculature demonstrates marked fibrosis.
Image Info
Camera Maker:
Olympus Corporation
Camera Model:
DP70
Original Time Taken:
10-10-2015
Shutter Speed:
1/270 sec
ISO Sensitivity:
200
Metering Mode:
Spot
Gallery RSS
|
Archive View
|
Login
|
Powered by
Zenphoto