Table of Contents
« prev
next »
Washington University Experience
|
VASCULAR
|
Cavernous Angioma
|
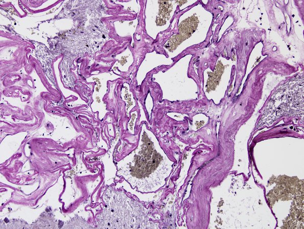
22D2 Cavernous angioma (Case 22) VVG 1
Vascular channels do not include arterial elements as seen by this elastin stain (Elastin)
Image Info
Camera Maker:
Olympus Corporation
Camera Model:
DP70
Original Time Taken:
11-01-2014
Shutter Speed:
1/600 sec
ISO Sensitivity:
200
Metering Mode:
Spot
Gallery RSS
|
Archive View
|
Login
|
Powered by
Zenphoto