Table of Contents
« prev
next »
Washington University Experience
|
VASCULAR
|
Cavernous Angioma
|
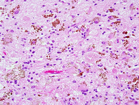
24B3 Cavernous Angioma (Case 24) 4
Hemosiderin encrusted astrocytes and scattered granular axonal spheroids (H&E)
Image Info
Camera Maker:
Olympus Optical Co.,ltd.
Camera Model:
DP70
Original Time Taken:
06-10-2009
Shutter Speed:
1/205 sec
ISO Sensitivity:
200
Metering Mode:
Spot
Gallery RSS
|
Archive View
|
Login
|
Powered by
Zenphoto