Table of Contents
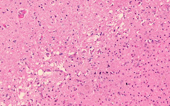
Washington University Experience | VASCULAR | Cavernous Angioma | 29B2 Infarct, subacute (DDx VA or CA) (Case 29) H&E 20X
Microscopic examination of the suspected vascular malformation showed a small subacute infarct with petechial hemorrhages and fields of macrophages. There was no evidence of a vascular malformation (H&E)
