Table of Contents
Washington University Experience | VASCULAR | Cavernous Angioma | 30A1 Cavernous angioma (Case 30) FLAIR 1 - Copy
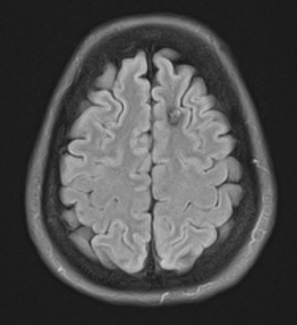
Case 30 History ---- The patient is a 38yo female with a recent seizure secondary to left frontal cavernous malformation. Brain MRI showed a 1.0 cm left frontal cavernoma with associated developmental venous anomaly. Operative procedure: left craniotomy for resection of cavernous malformation with stealth. ---- 30A1-4 MRI Studies ---- 30A1 The lesion as seen in a FLAIR scan.
