Table of Contents



Washington University Experience | VASCULAR | Cavernous Angioma | 30A2 Cavernous angioma (Case 30) T1NoC - Copy

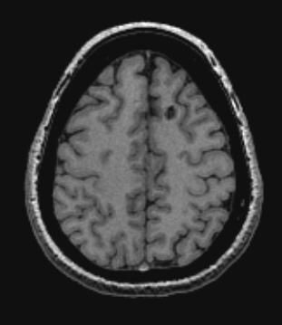
30A2 Cavernous angioma (Case 30) T1NoC - Copy
30A2,3 The lesion shown in T1-weighted scan without (30A2) and with contrast (30A3) fails to enhance.


Gallery RSS RSS Feed | Archive View | Login | Powered by Zenphoto