Table of Contents



Washington University Experience | VASCULAR | Cavernous Angioma | 30A3 Cavernous angioma (Case 30) T1W - Copy

30A3 Cavernous angioma (Case 30) T1W - Copy
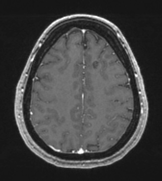
30A2,3 The lesion shown in T1-weighted scan with contrast fails to enhance.


Gallery RSS RSS Feed | Archive View | Login | Powered by Zenphoto