Table of Contents
« prev
next »
Washington University Experience
|
VASCULAR
|
Cavernous Angioma
|
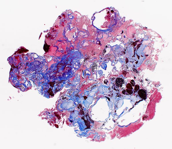
30D Cavernous angioma (Case 30) TRI 2X
Much of the walls consist of collagen. (Trichrome)
Image Info
Camera Maker:
Olympus
Camera Model:
DP74 #1
Shutter Speed:
31/100000 sec
Metering Mode:
Average
Gallery RSS
|
Archive View
|
Login
|
Powered by
Zenphoto