Table of Contents
Washington University Experience | VASCULAR | Cavernous Angioma | 31A Cavernoma (Case 31) T2noC copy - Copy
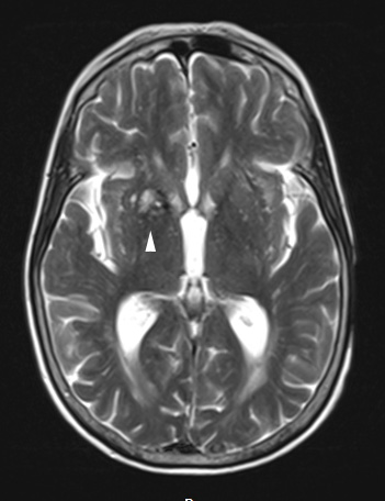
Case 31 History ---- The patient is a 72 year old woman with pancreatic adenocarcinoma, status post distal pancreatectomy, recurrent and metastatic to liver and bilateral lungs with extension into the lesser curvature of the stomach. Routine MRI examination as part of her metastatic workup showed a cavernous angioma. ---- 31A This T2-weighted MRI scan shows a “popcorn” pattern diagnostic of cavernous angioma.
