Table of Contents
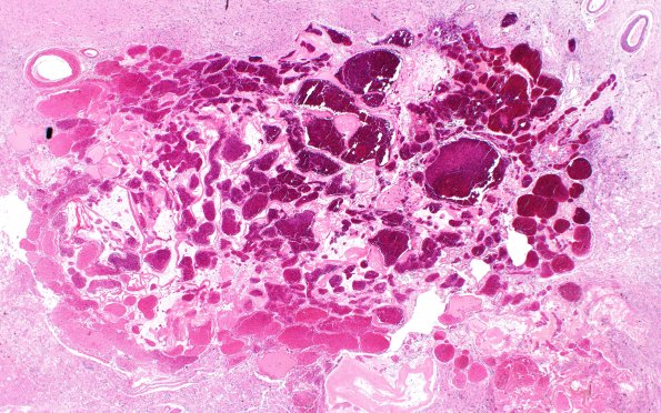
Washington University Experience | VASCULAR | Cavernous Angioma | 31C2 Cavernoma (Case 31) H&E 2X
31C2-4 The malformation is composed of a tightly packed collection of variably sized and thickened hyalinized vessels with little or no smooth muscle and lacks intervening brain parenchyma.
