Table of Contents
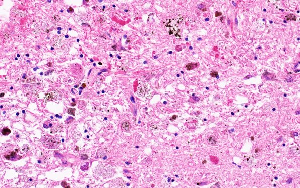
Washington University Experience | VASCULAR | Cavernous Angioma | 31C6 Cavernoma (Case 31) H&E 40X 2
The adjacent parenchyma consists of free hemosiderin, hemosiderin-laden macrophages, reactive astrocytes, some encrusted by hemosiderin, and granular axonal spheroids. (H&E)
