Table of Contents
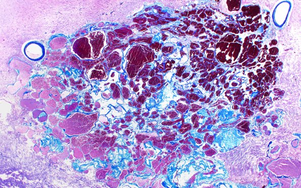
Washington University Experience | VASCULAR | Cavernous Angioma | 31D2 Cavernoma (Case 31) Trichrome AA
31D2,3 The vessel walls strongly stain for collagen and show no significant smooth muscle, as expected in a cavernous angioma. (Trichrome)
