Table of Contents
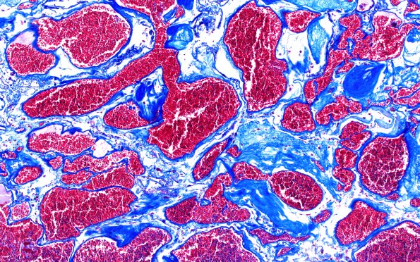
Washington University Experience | VASCULAR | Cavernous Angioma | 31D3 Cavernoma (Case 31) Trichrome 10X 2A
The vessel walls strongly stain for collagen and show no significant smooth muscle, as expected in a cavernous angioma. (Trichrome)
