Table of Contents
« prev
next »
Washington University Experience
|
VASCULAR
|
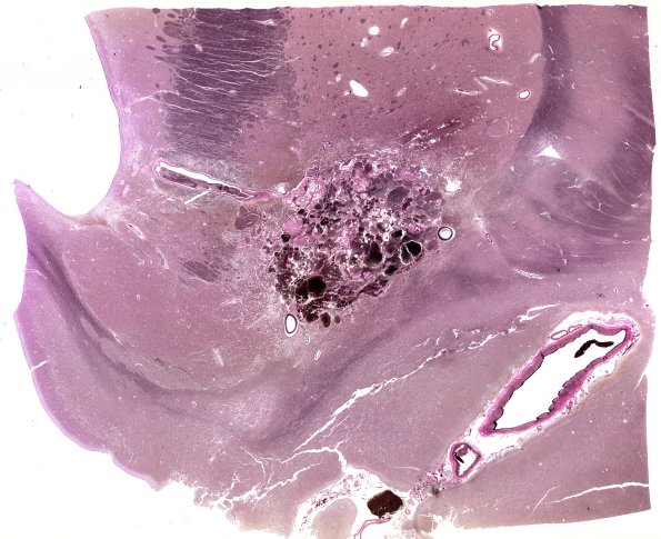
Cavernous Angioma
|
31E1 Cavernoma (Case 31) VVG WM
A whole mount of the cavernoma stained for elastic tissue. (elastin)
Image Info
Camera Maker:
Nikon
Camera Model:
LS-50
Gallery RSS
|
Archive View
|
Login
|
Powered by
Zenphoto