Table of Contents
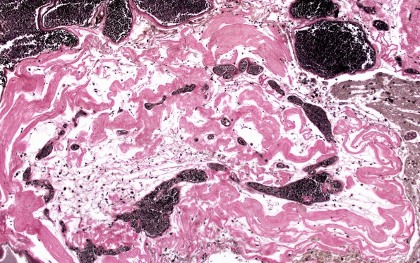
Washington University Experience | VASCULAR | Cavernous Angioma | 31E6 Cavernoma (Case 31) VVG 10X 5
Multiple images of the malformation stained for elastin. An elastin stain demonstrates the internal elastic lamina of arteries/arterioles and fails to stain the walls of the cavernoma. (elastin)
