Table of Contents
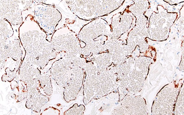
Washington University Experience | VASCULAR | Cavernous Angioma | 31F3 Cavernoma (Case 31) SMA 20X 1
Vessel walls in this cavernoma show a discrete linear stain in the subendothelial layer but not in a thick continuous smooth muscle layer, a non-specific result. (SMA IHC)
