Table of Contents
« prev
next »
Washington University Experience
|
VASCULAR
|
Cavernous Angioma
|
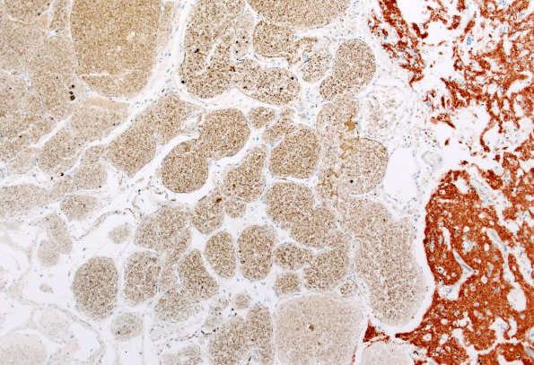
31G3 Cavernoma (Case 31) SYN 10X
Brain parenchyma is confined to the margins of the malformation. (SYN IHC)
Image Info
Camera Maker:
Olympus
Camera Model:
DP74
Shutter Speed:
14/27451 sec
Metering Mode:
Multi-Spot
Gallery RSS
|
Archive View
|
Login
|
Powered by
Zenphoto