Table of Contents
« prev
next »
Washington University Experience
|
VASCULAR
|
Cavernous Angioma
|
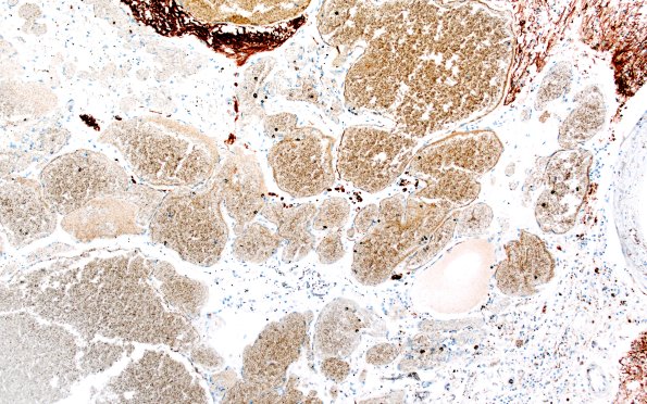
31H3 Cavernoma (Case 31) GFAP 10X
31H3,4 Vascular channels are not separated by gliotic brain parenchyma. (GFAP IHC)
Image Info
Camera Maker:
Olympus
Camera Model:
DP74
Shutter Speed:
7/12500 sec
Metering Mode:
Multi-Spot
Gallery RSS
|
Archive View
|
Login
|
Powered by
Zenphoto