Table of Contents
« prev
Washington University Experience
|
VASCULAR
|
Cavernous Angioma
|
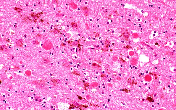
32B5 Cavernous angioma (Case 32) H&E 40X
The adjacent parenchyma is gliotic with granular spheroids and hemosiderin deposition. (H&E)
Image Info
Camera Maker:
Olympus
Camera Model:
DP74
Shutter Speed:
3/616 sec
Metering Mode:
Multi-Spot
Gallery RSS
|
Archive View
|
Login
|
Powered by
Zenphoto