Table of Contents
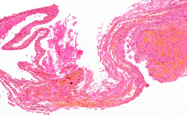
Washington University Experience | VASCULAR | Cavernous Angioma | 9B Cavernoma, multiple, hereditary question (Case 9) H&E 10X
The neurosurgical specimen was mostly clot with a few vascular channels and hemosiderin and hematoidin (H&E)
