Table of Contents
* Check/uncheck all *
City
Country
Description
Location/Place
State
Tags
Title
Washington University Experience
|
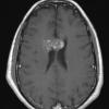
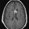
VASCULAR
|
Cavernous Angioma (13)
« prev
1
...
10
11
12
13
14
15
16
next »
Gallery RSS
|
Archive View
|
Login
|
Powered by
Zenphoto