Table of Contents
« prev
next »
Washington University Experience
|
VASCULAR
|
Congophilic Angiopathy (CAA)
|
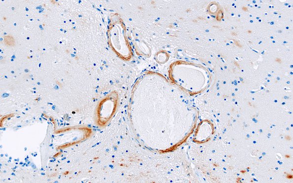
22C Hemorrhage, CAA stages (Case 22) N13 20X BAP
Immunolocalization of BAP within vascular walls (BAP IHC)
Image Info
Camera Maker:
Olympus
Camera Model:
DP74 #1
Shutter Speed:
49/25000 sec
Metering Mode:
Average
Gallery RSS
|
Archive View
|
Login
|
Powered by
Zenphoto