Table of Contents
« prev
next »
Washington University Experience
|
VASCULAR
|
Congophilic Angiopathy (CAA)
|
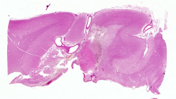
24B1 CAA & AD (Case 24) 1 WM
24B1,2 Complex hemorrhages and hemorrhagic infarcts were numerous in the cerebral hemispheres
Image Info
Camera Maker:
Nikon
Camera Model:
Nikon COOLSCAN V ED
Gallery RSS
|
Archive View
|
Login
|
Powered by
Zenphoto