Table of Contents
« prev
next »
Washington University Experience
|
VASCULAR
|
Congophilic Angiopathy (CAA)
|
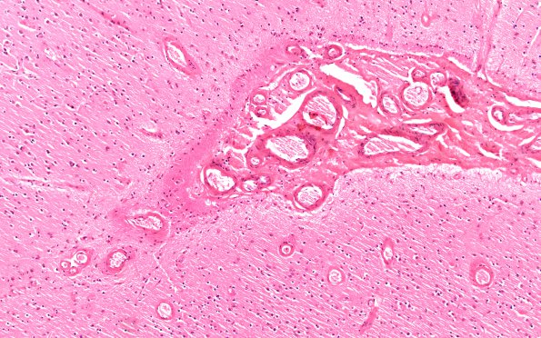
27B1 CAA & AD (Case 27) N1 H&E
Leptomeningeal and parenchymal congophilic vessels from the frontal lobe (H&E)
Image Info
Camera Maker:
Olympus
Camera Model:
DP74 #1
Shutter Speed:
20/28169 sec
Metering Mode:
Average
Gallery RSS
|
Archive View
|
Login
|
Powered by
Zenphoto