Table of Contents
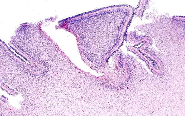
Washington University Experience | VASCULAR | Hemorrhage - Neonatal | 27B1 Hypoxia-Ischemia, premature (Case 27) H&E 5A
27B1-5- These are multiple foci of subpial hemorrhage which produce, possibly by vasospasm, areas of ischemia and neuron loss, often at the depts of the folia (a microwatershed?). (H&E)
