Table of Contents
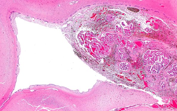
Washington University Experience | VASCULAR | Hemorrhage - Neonatal | 29B2 IVH (Case 29) N11 H&E 2X A
Low magnification images show hemorrhage centered on and partially destroying the choroid plexus with diffuse injury to the adjacent ventricular lining. (H&E)
