Table of Contents
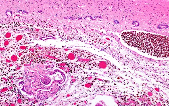
Washington University Experience | VASCULAR | Hemorrhage - Neonatal | 29B3 IVH (Case 29) N11 H&E 10X 2
29B3-5 The choroid plexus shows admixed hemorrhage, hemosiderin deposition, fibrosis and residual non-vascularized choroid plexus. (H&E)
