Table of Contents
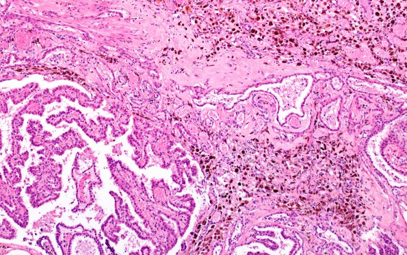
Washington University Experience | VASCULAR | Hemorrhage - Neonatal | 29B5 IVH (Case 29) N11 H&E 10X 3
The choroid plexus shows admixed hemorrhage, hemosiderin deposition, fibrosis and residual non-vascularized choroid plexus. (H&E)
