Table of Contents
« prev
next »
Washington University Experience
|
VASCULAR
|
Hemorrhage - Neonatal
|
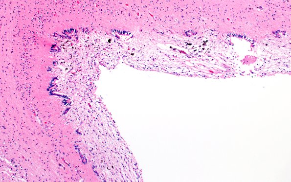
29B6 IVH (Case 29) N11 H&E 10X 4
29B6,7 The adjacent ependymal lining shows significant granular ependymitis. (H&E)
Image Info
Camera Maker:
Olympus
Camera Model:
DP74
Shutter Speed:
33/50000 sec
Metering Mode:
Multi-Spot
Gallery RSS
|
Archive View
|
Login
|
Powered by
Zenphoto