Table of Contents
« prev
Washington University Experience
|
VASCULAR
|
Hemorrhage - Neonatal
|
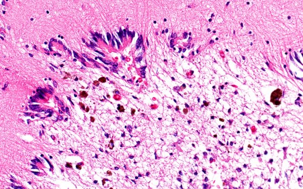
29B7 IVH (Case 29) N11 H&E 40X
The adjacent ependymal lining shows significant granular ependymitis. (H&E)
Image Info
Camera Maker:
Olympus
Camera Model:
DP74
Shutter Speed:
2/339 sec
Metering Mode:
Multi-Spot
Gallery RSS
|
Archive View
|
Login
|
Powered by
Zenphoto