Table of Contents



Washington University Experience | VASCULAR | Hemorrhage - Subdural | 18B Hemorrhage, subdural (Case 18B)H&E 1

18B Hemorrhage, subdural (Case 18B)H&E 1
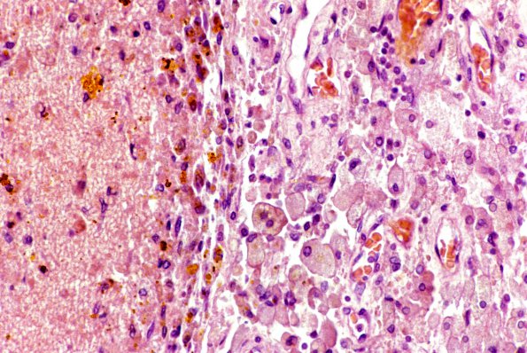
High magnification of the resolving margin of a subdural membrane (H&E)


Gallery RSS RSS Feed | Archive View | Login | Powered by Zenphoto