Table of Contents
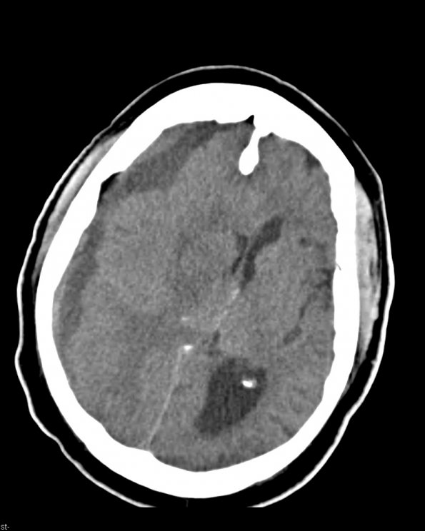
Washington University Experience | VASCULAR | Hemorrhage - Subdural | 4A1 Hemorrhage, subdural, organizing (EMH) (Case 4) CT 1 - Copy
A CT image showing the right hemispheric subdural hematoma with left shift and collapse of the right lateral ventricle.
