Table of Contents



Washington University Experience | VASCULAR | Herniation, uncal | 7A1 (Case 7) - Copy

7A1 (Case 7) - Copy
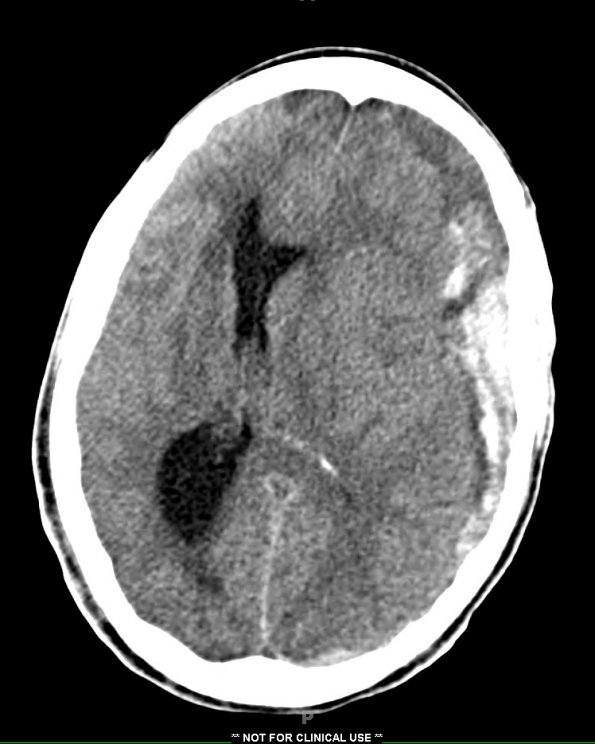
A large left subdural hemorrhage was found on CT examination.


Gallery RSS RSS Feed | Archive View | Login | Powered by Zenphoto