Table of Contents
« prev
next »
Washington University Experience
|
VASCULAR
|
Hydrocephalus, Post-Hemorrhagic
|
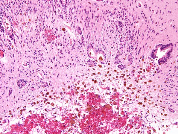
5B4 Hydrocephalus after IVH (Case 5) A10
Higher magnification of image #5B3 (H&E)
Image Info
Camera Maker:
Olympus Corporation
Camera Model:
DP70
Original Time Taken:
02-12-2014
Shutter Speed:
1/1000 sec
ISO Sensitivity:
200
Metering Mode:
Spot
Gallery RSS
|
Archive View
|
Login
|
Powered by
Zenphoto