Table of Contents
Washington University Experience | VASCULAR | Hypoxia-Ischemia, fetal-neonatal | Pontosubicular necrosis | 2B1 Hypoxia Ischemia, neonatal (Case 2) (PSN) H&E 2X copy
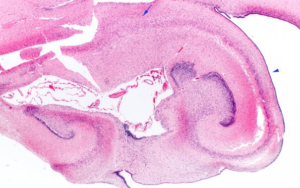
This whole mount of the hippocampus is disrupted but the neurons of the CA1-4 regions appear well preserved (arrowhead) compared to the subiculum (arrow) at this magnification. (H&E)
