Table of Contents
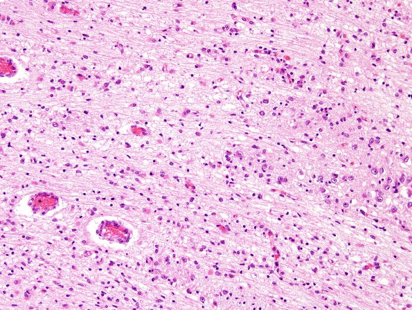
Washington University Experience | VASCULAR | Hypoxia-Ischemia, fetal-neonatal | Pontosubicular necrosis | 2C1 Hypoxia-Ischemia (Case 2) Pons H&E 6
2C1,2 Neuron loss, astrocytosis and apoptosis are prominent in the striate pons (H&E)
