Table of Contents
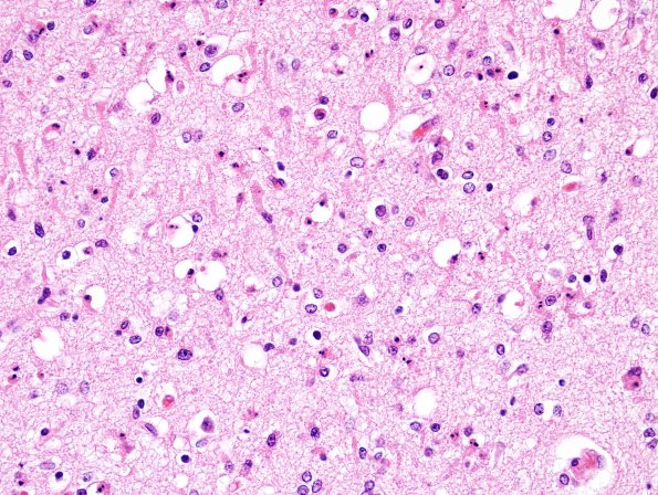
Washington University Experience | VASCULAR | Hypoxia-Ischemia, fetal-neonatal | Pontosubicular necrosis | 5B5 Hypoxia-Ischemia, neonatal, PSN intrauterine (Case 5) H&E N3 subiculum 1
The subiculum shows numerous apoptotic neurons (H&E)
