Table of Contents
« prev
next »
Washington University Experience
|
VASCULAR
|
Hypoxia-Ischemia, fetal-neonatal
|
Pontosubicular necrosis
|
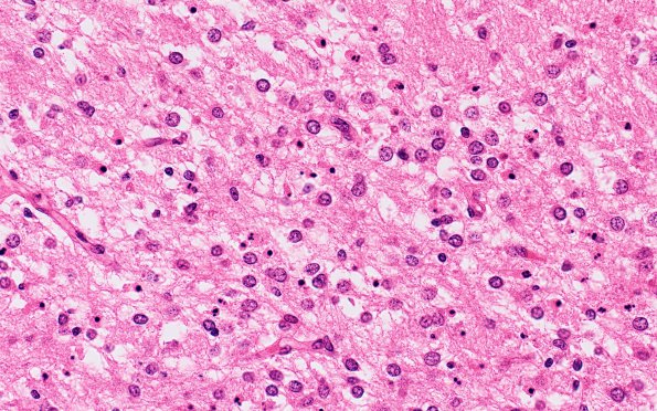
6B2 Hypoxia-Ischemia, neonatal, pontosubicular (Case 6) N7 40X
Higher magnification of image #6B1. (H&E)
Image Info
Camera Maker:
Olympus
Camera Model:
DP74 #1
Shutter Speed:
18/3125 sec
Metering Mode:
Average
Gallery RSS
|
Archive View
|
Login
|
Powered by
Zenphoto