Table of Contents
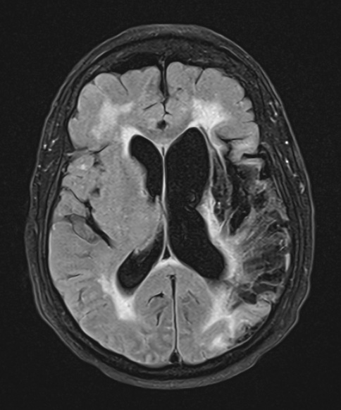
Washington University Experience | VASCULAR | Infarct, Tract Degeneration, illustrative case | 2A1 Tract Degeneration (Case 2) FLAIR - Copy
The extent of left MCA infarction and periventricular hyperintensities are shown in this FLAIR MRI Scan.
