Table of Contents
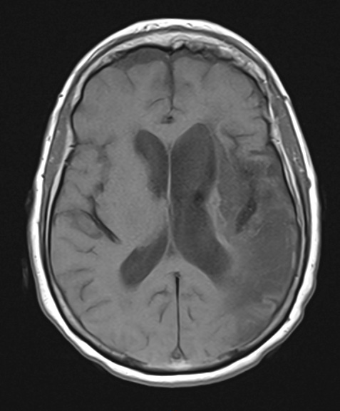
Washington University Experience | VASCULAR | Infarct, Tract Degeneration, illustrative case | 2A2 Tract Degeneration (Case 2) T1Ax noC - Copy
2A2,3 T1-weighted (2A2) and T2-weighted (2A3) scans showing left ventricular expansion and marked loss of parenchyma.
