Table of Contents



Washington University Experience | VASCULAR | Infarct, Tract Degeneration, illustrative case | 2A5 Tract Degeneration (Case 2) FLAIR 3 - Copy

2A5 Tract Degeneration (Case 2) FLAIR 3 - Copy
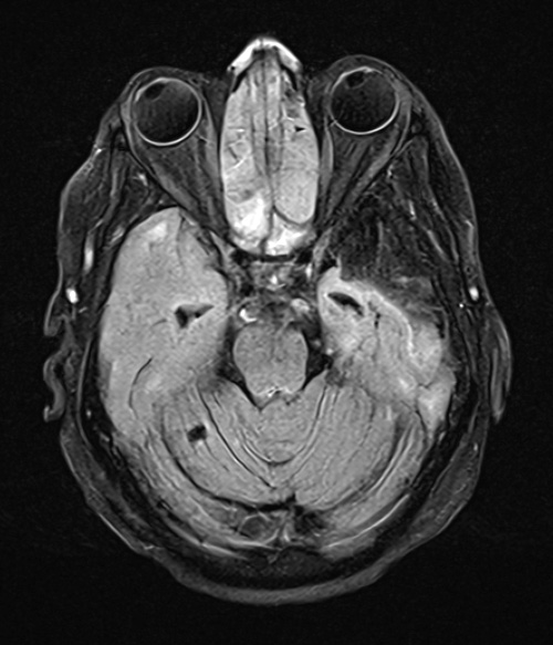
Notice the loss of the left basis pontis in these FLAIR scans.


Gallery RSS RSS Feed | Archive View | Login | Powered by Zenphoto