Table of Contents
« prev
next »
Washington University Experience
|
VASCULAR
|
Infarct, Tract Degeneration, illustrative case
|
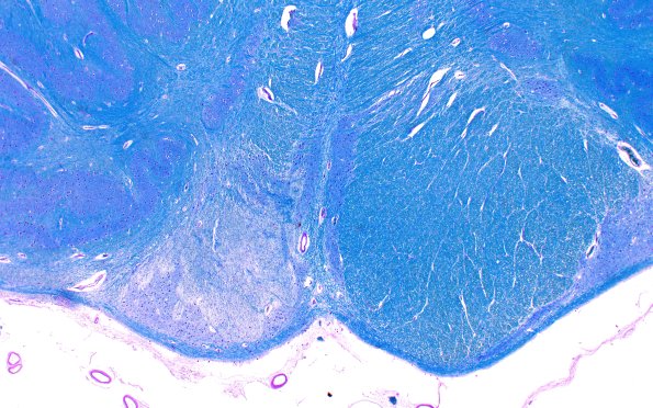
2B14D2 Tract Degen (Case 2) N19 2X
Higher magnification of image #2B14D1> (LFB-PAS)
Image Info
Camera Maker:
Olympus
Camera Model:
DP74
Shutter Speed:
13/50000 sec
Metering Mode:
Multi-Spot
Gallery RSS
|
Archive View
|
Login
|
Powered by
Zenphoto