Table of Contents
Washington University Experience | VASCULAR | Infarct, watershed | 14A1 Infarct, watershed (Case 14) CT 2 - Copy
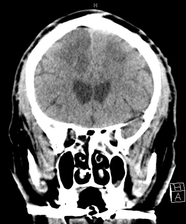
14A1,2 At autopsy the weight of the unfixed brain was 1390g. CT scans show bilateral hypodensities in watershed areas.
