Table of Contents
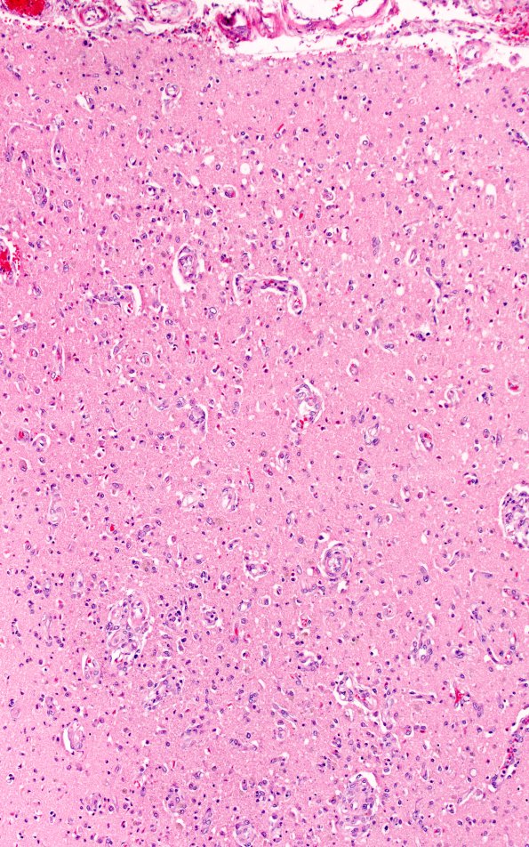
Washington University Experience | VASCULAR | Infarct, watershed | 14D1 Infarct, watershed (Case 14) N5 H&E WM
14D1,2 Multiple sections of the cerebral cortical watershed vascular distribution show diffuse eosinophilic neuronal necrosis, neuronal dropout, endothelial prominence, and infiltrating macrophages within the cortical gray and white matter. These findings are consistent with subacute infarction, with the most severe areas of injury being seen at the sulcal depths.
