Table of Contents
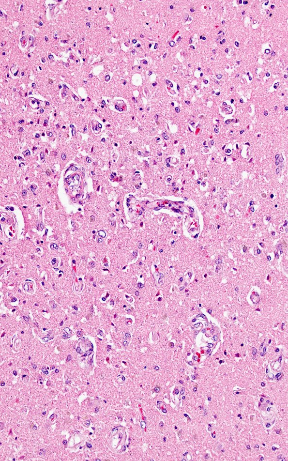
Washington University Experience | VASCULAR | Infarct, watershed | 14D2 Infarct, watershed (Case 14) N1 H&E 20X
Multiple sections of the cerebral cortical watershed vascular distribution show diffuse eosinophilic neuronal necrosis, neuronal dropout, endothelial prominence, and infiltrating macrophages within the cortical gray and white matter. These findings are consistent with subacute infarction, with the most severe areas of injury being seen at the sulcal depths. ---- Not shown: The hippocampal subfield CA1 is involved by extensive eosinophilic neuronal necrosis and neuronal dropout, with occasional infiltrating macrophages and microglia. Sections of the pituitary gland show extensive geographic necrosis, consistent with infarction.
