Table of Contents



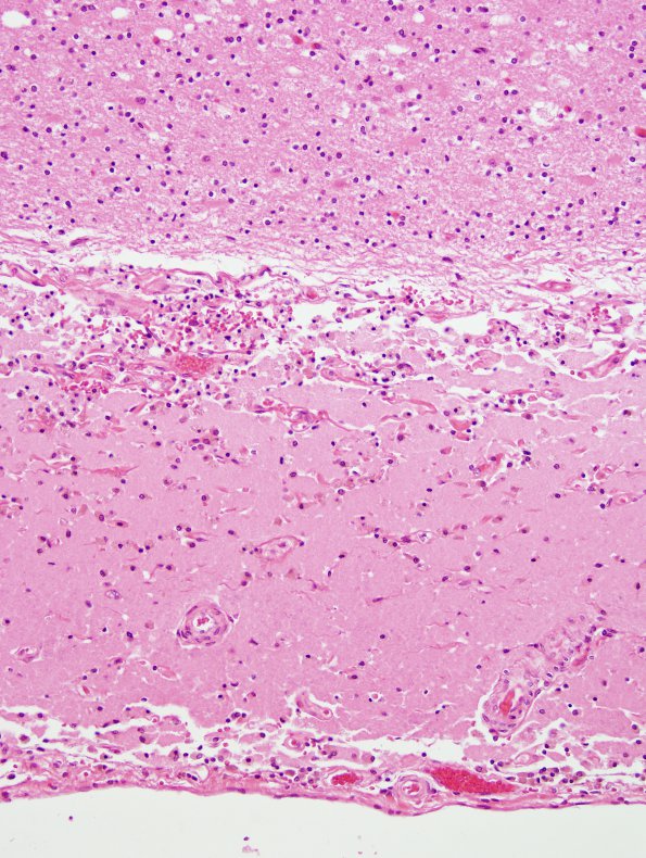
Washington University Experience | VASCULAR | Infarct - (Pseudo) Laminar necrosis | 1C3 Laminar necrosis (Case 1) N19 H&E 5

1C3 Laminar necrosis (Case 1) N19 H&E 5
Higher magnification of the gray white junction seen in image 1C2 (H&E)


Gallery RSS RSS Feed | Archive View | Login | Powered by Zenphoto