Table of Contents
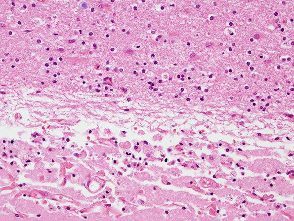
Washington University Experience | VASCULAR | Infarct - (Pseudo) Laminar necrosis | 1C4 Laminar necrosis (Case 1) N19 H&E 2
This is a higher magnification of the vacuolated junction between cortex and white matter which contains numerous macrophages (H&E)
