Table of Contents
« prev
next »
Washington University Experience
|
VASCULAR
|
Infarct - (Pseudo) Laminar necrosis
|
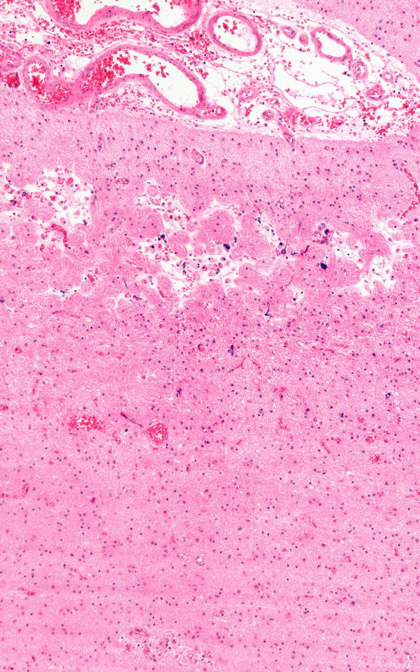
5A4 Laminar necrosis (Case 5) 20X 2
This pattern, replacement by tongues of gliotic brain shows modest vacuolation and cortical loss. (H&E)
Image Info
Camera Maker:
Olympus
Camera Model:
DP74 #1
Shutter Speed:
14/27451 sec
Metering Mode:
Average
Gallery RSS
|
Archive View
|
Login
|
Powered by
Zenphoto