Table of Contents
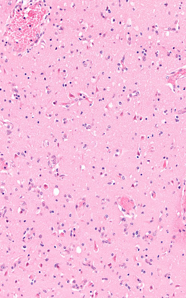
Washington University Experience | VASCULAR | Infarct - (Pseudo) Laminar necrosis | 8B5 Case 8 N1L H&E 11269
8B5,6 Two magnifications of the cortex in between the vacuolated layers shows eosinophilic neuronal necrosis and the beginning of the proliferation of small vessels (H&E)
