Table of Contents
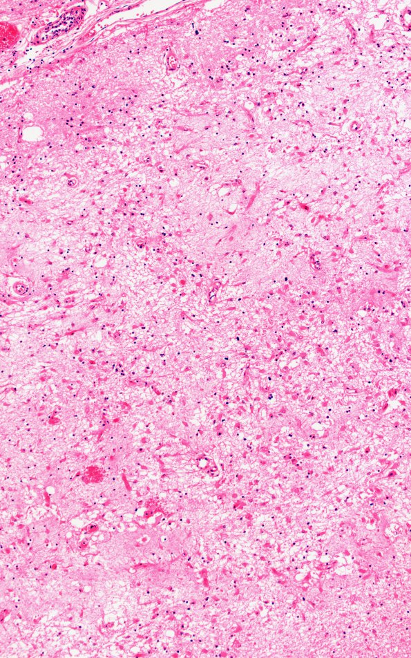
Washington University Experience | VASCULAR | Infarct - (Pseudo) Laminar necrosis | 9B4 Infarct, laminar (Case 9) N22 11258
Region of cortical lesion shows marked pallor, neuron loss and astrocytosis without sparing cortical layer 1 (H&E)
